Public Collections
CANP
2025
Case 13
Thumbnail View
List View
C5b9.ndpi
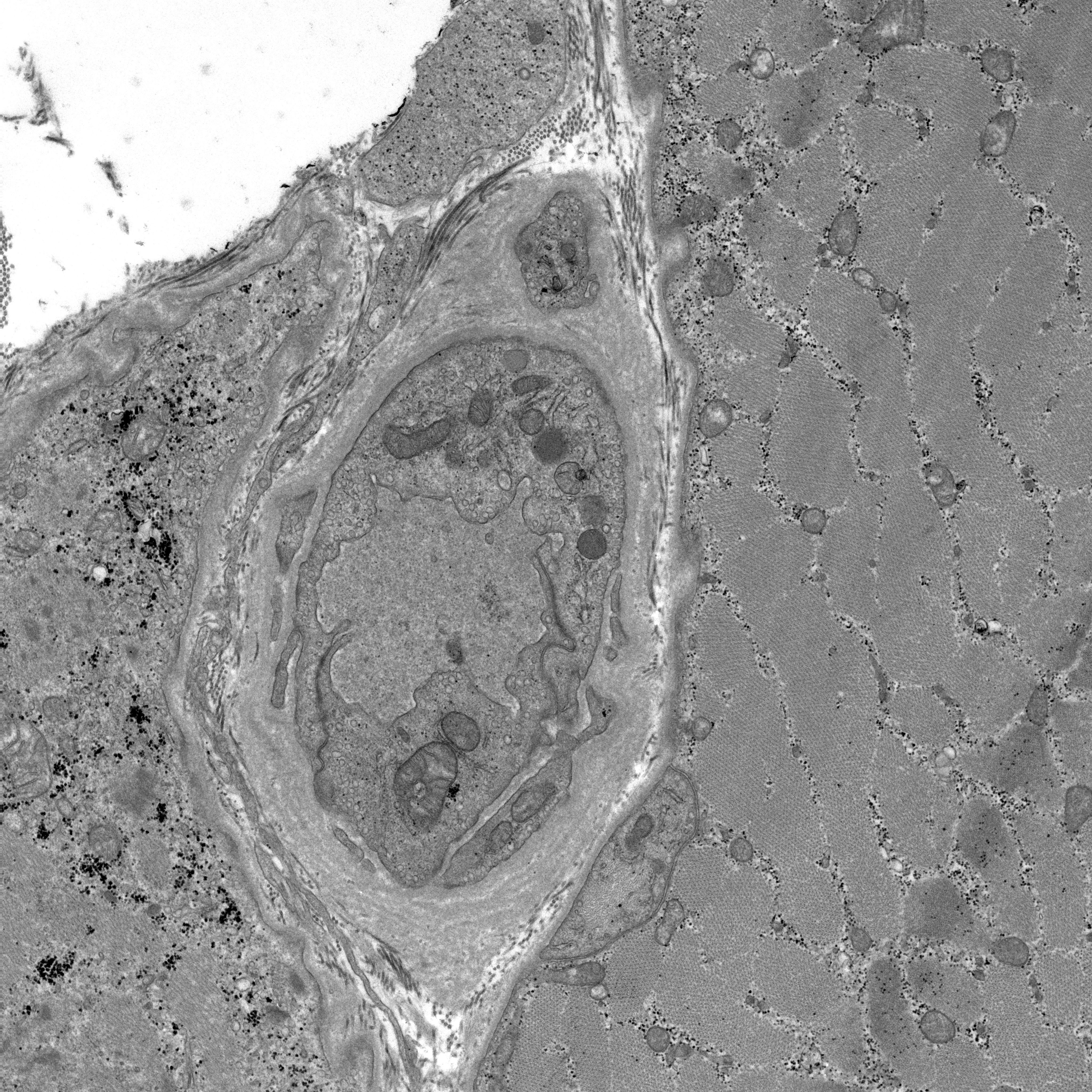
Case 13_EM.jpg
Collagen-4 IF.jpg
HES.ndpi
MHC1.ndpi
MHC2.ndpi
New folder name:
New folder name: