My Objective

Public Collections CANP2024Case 8

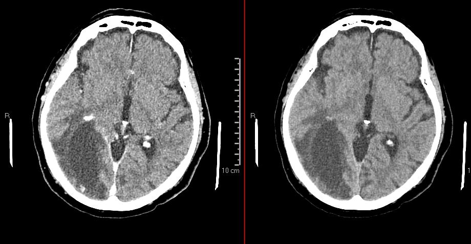
CT Scan.JPG
H&S Slide.svs
New folder name:
New folder name: