My Objective

Public Collections CANP2023Case 14

L cerebellum resection HE.svs
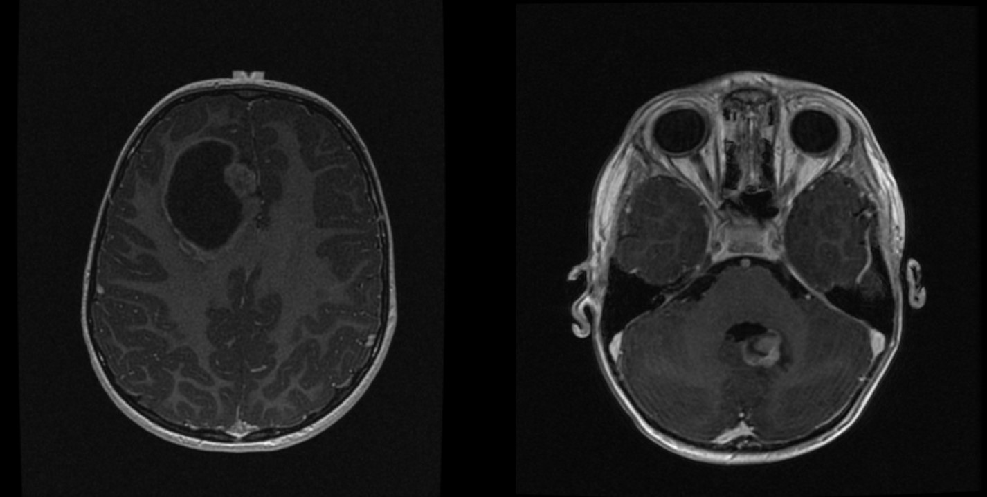
MR_original_(left)_and_cerebel…
Rostral medulla HE+LFB.svs
New folder name:
New folder name: